Phát hiện sớm bệnh lao để tránh những di chứng và biến chứng nguy hiểm
- Thứ tư - 19/03/2025 11:34
- |In ra
- |Đóng cửa sổ này
Như chúng ta đã biết, bệnh lao là một bệnh truyền nhiễm do vi khuẩn lao gây nên, bệnh lây truyền chủ yếu qua đường hô hấp. Vi khuẩn lao do nhà bác học người Đức - Robert Kock là người đầu tiên công bố tìm ra vào ngày 24 tháng 03 năm 1882 đến nay đã được hơn 142 năm. Nguồn lây chính của bệnh lao là những bệnh nhân lao phổi có vi khuẩn lao trong đờm. Người bị lây do hít phải vi khuẩn lao của bệnh nhân lao phổi bắn ra môi trường xung quanh khi ho, khạc, hắt hơi, hoặc khi tiếp xúc trong thời gian dài và liên tục. Nếu không có sự kiểm soát của con người bằng các biện pháp và công cụ hữu hiệu, bệnh lao có thể bùng phát như một bệnh dịch nguy hiểm làm chết nhiều người và tác động xấu đến sự phát triển kinh tế xã hội.
Việt Nam hiện vẫn là nước có gánh nặng bệnh lao cao, đứng thứ 11 trong 30 nước có số người bệnh lao cao nhất trên toàn cầu, đồng thời đứng 11 trong số 30 nước có gánh nặng bệnh lao kháng đa thuốc cao nhất Thế giới (theo báo cáo của Tổ chức y tế thế giới 2023).

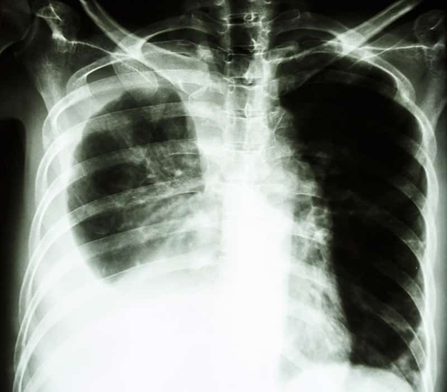
Phát hiện và điều trị bệnh lao sớm sẽ tránh được những biến chứng nguy hiểm. Ảnh minh họa
Bệnh lao phổi coi chừng biến chứng nghiêm trọng
Bệnh lao là một bệnh truyền nhiễm do vi khuẩn lao gây nên. Bệnh lao có thể gặp ở tất cả bộ phận trong cơ thể trong đó lao phổi là thể lao phổ biến nhất (80-85%) và là nguồn lây chính cho người xung quanh. Bệnh lao dễ gây ra nhiều di chứng, biến chứng nguy hiểm tới sức khỏe và tính mạng của bệnh nhân.
Trong điều kiện tự nhiên, vi khuẩn này có thể tồn tại từ 3 – 4 tháng. Trong phòng thí nghiệm, vi khuẩn lao có thể được bảo quản trong nhiều năm. Nếu ở dưới ánh nắng mặt trời vi khuẩn này sẽ chết trong vòng 1,5 giờ và sống được 5 phút khi bị chiếu tia cực tím.
Vi khuẩn lao là một vi khuẩn ái khí vì vậy vi khuẩn ưa cư trú trong môi trường có nhiều oxy, vì đặc tính này mà vi khuẩn lao thường khu trú ở phổi và số lượng vi khuẩn có nhiều nhất trong các tổn thương dạng hang lao trong phổi.
Lao phổi là thể bệnh có thể gặp ở cả người lớn và trẻ em, tỷ lệ mắc bệnh tăng lên theo lứa tuổi, nhất là ở người già, người có vấn đề về sức đề kháng. Tuy nhiên, con số hiện nay cho thấy số người bị mắc lao nhiều nhất lại là người đang ở tuổi lao động, vì vậy, mà bệnh ảnh hưởng rất lớn đến bản thân gia đình và cộng đồng vì đây là tuổi sản xuất ra của cải vật chất cho xã hội.
Người bệnh lao phổi nếu không được chữa trị kịp thời, hiệu quả có thể gây nên biến chứng đe dọa tính mạng. Nếu chậm trễ trong việc điều trị, bệnh lao phổi có thể làm nguy hại tới tính mạng bởi các biến chứng sau:
1. Tràn dịch, tràn khí màng phổi
Bình thường, khoang màng phổi không có khí và cũng không có dịch. Khoang này chỉ có một chút dịch nhờn để bôi trơn. Nó có tác dụng làm phổi nở ra trong hô hấp, hít vào thở ra được dễ dàng.
Tràn dịch màng phổi là hiện tượng màng phổi bị ứ dịch đầy trong khoang màng phổi. Còn tràn khí là hiện tượng khí xâm nhập đầy trong khoang màng phổi. Khí và dịch là từ phổi đi ra, vào trong khoang này.
Khi bị lao phổi, vi khuẩn lao làm thông thương giữa phổi và khoang này làm dịch và khí tràn ra một cách ồ ạt. Sự nguy hiểm ở đây là khí và dịch tràn ra nhiều quá sẽ ép phổi lại còn một thể tích rất nhỏ. Thể tích này không thể cung cấp đủ khí. Người bệnh sẽ bị ngạt thở và tử vong. Kiểu tử vong này gần như kiểu chết đuối trên cạn. Do vậy, cần xử lý ngay tràn dịch và khí để khai thông sự dễ thở cho nạn nhân.

Tràn dịch, tràn khí màng phổi. Ảnh minh họa
2. Ho ra máu
Ho ra máu là tình trạng người bệnh ho và khạc ra máu. Đây là dấu hiệu vi khuẩn lao đã xâm nhập và bắt đầu phá hủy phổi. Sự phá hủy này theo chiều hướng phá tan cấu trúc và làm thủng mạch máu. Ban đầu chỉ là các mạch máu nhỏ ở phế nang, sau rồi đến các mạch máu lớn.
Không có trường hợp ho ra máu nào là nhẹ cả, cho dù đó chỉ là dạng đờm lẫn dây máu. Đó là vì máu luôn chảy rỉ ra ở trong phổi, tại vị trí vi khuẩn lao phá hủy. Số lượng này tính tại một thời điểm là rất nhỏ nhưng trong một vài ngày thì lại rất lớn. Đặc điểm của ho ra máu do lao là không tự cầm và chảy máu diện rộng. Vì vậy, người bệnh sẽ bị chảy máu rất nhiều và chỉ khi đến một mức độ nào đó mới khạc ra được.
Trong bất kỳ trường hợp nào bị ho ra máu cũng không được chủ quan vì đây là một cấp cứu nội khoa. Nếu không cứu chữa kịp thời thì nạn nhân có thể tử vong nhanh, không kịp trở tay. Đó là khi vi khuẩn lao phá hủy một mạch máu lớn thì lượng máu sẽ ồ ạt chảy ra. Hoặc khi lượng máu quá nhiều người bệnh ộc ra. Toàn bộ lượng máu này sẽ làm bít tắc đường phế quản trên diện rộng và người bệnh tắc thở, suy tuần hoàn và tử vong.
3. Giãn phế quản
Chứng giãn phế quản có thể phát triển sau bệnh lao nguyên phát hoặc tái phát, cũng như kết hợp với chứng ho ra máu. Sau khi nhiễm bệnh lao nguyên phát, các hạch lớn chèn vào phế quản từ bên ngoài dẫn đến tình trạng giãn phế quản xa nơi tắc nghẽn.
Trong trường hợp bệnh lao tái hoạt động, sự phá hủy tiến triển và tình trạng xơ hóa nhu mô phổi có thể làm giãn phế quản khu trú. Chứng giãn phế quản thường xuất hiện ở những vùng lao tái hoạt (các vùng đỉnh hoặc sau của thùy trên), nhưng cũng có thể xảy ra ở những vùng phổi khác. Giãn phế quản là di chứng bệnh lao phổi thường gặp ở cả người lớn và trẻ em.
Khi mắc chứng giãn phế quản, người bệnh lao phổi sẽ gặp triệu chứng khạc đờm mạn tính. Đờm nhầy lắng thành nhiều lớp, khi xảy ra tình trạng nhiễm trùng sẽ trở thành mủ. Ở một số trường hợp, người bệnh bị giãn phế quản khu trú gặp nhiều biến chứng như ho ra nhiều máu, nhiễm trùng tái diễn, bác sĩ có thể chỉ định phẫu thuật cắt bỏ phần phổi bệnh.
4. Xơ phổi
Một biến chứng đáng ngại của lao phổi là tình trạng xơ hóa phổi. Vi khuẩn lao phá hủy phổi không ngừng. Chúng có thể làm hỏng một thùy nhỏ của phổi nhưng cũng có khi làm hỏng toàn bộ một bên phổi. Các vết phá hủy này có đặc điểm là lan tràn và mang tính mãi mãi. Khi phổi bị phá hủy lan rộng, xơ hóa toàn bộ, lá xơ này thủng lỗ chỗ và không hề có chức năng trao đổi khí. Người bệnh sẽ bị suy hô hấp dần dẫn đến tử vong.
5. Viêm màng não
Vi khuẩn lao sau khi tấn công vào phổi có thể di chuyển đến màng não cũng như các mô não. Biến chứng này có khả năng xuất hiện ngay lập tức sau khi người bệnh bị nhiễm vi khuẩn lao hoặc vài tháng, vài năm sau đó. Viêm màng não do di chứng sau khi điều trị lao phổi làm gia tăng áp lực trong hộp sọ, khiến các mô thần kinh bị tổn thương nghiêm trọng. Triệu chứng dễ nhận biết là người bệnh cảm thấy đau đầu dữ dội, chán ăn, cứng cổ…
Cách phát hiện sớm và điều trị bệnh lao
Tùy thuộc vào sức khỏe và để kháng của từng người mà bệnh lao ở phổi có thời gian ủ bệnh dài ngắn khác nhau. Trong giai đoạn lao tiềm ẩn, bệnh nhân không có hoặc có ít biểu hiện các triệu chứng bệnh, do đó rất khó phát hiện được bệnh nhân mắc bệnh trong giai đoạn này.
Ở nền bệnh lao tiến triển, tùy vào mức độ gây bệnh ở từng cơ quan bệnh nhân sẽ có những triệu chứng khác nhau. Người bị mắc bệnh lao phổi thường có những triệu chứng điển hình gồm: Ho kéo dài hơn 2 tuần (ho có đờm, ho ra máu); Đau ngực, đôi khi khó thở; Sốt về chiều; Đổ mồ hôi trộm về đêm; Chán ăn, gầy sút cân.
Khi có các dấu hiệu trên, người bệnh cần đi khám ngay để được chẩn đoán và điều trị kịp thời.
Người nguy cơ mắc bệnh lao
Những người bị suy giảm miễn dịch như nhiễm HIV, ung thư...; Người tiếp xúc trực tiếp với nguồn lây, đặc biệt là trẻ em; Người mắc các bệnh mạn tính như loét dạ dày tá tràng, đái tháo đường, suy thận mạn…; Người nghiện ma túy, rượu, thuốc lá; Người sử dụng các thuốc ức chế miễn dịch kéo dài như corticoid, hóa chất điều trị ung thư.
Cách phòng ngừa bệnh lao
Để phòng nhiễm bệnh và ngăn ngừa sự lây lan của bệnh ra cộng đồng cần thực hiện:
Với người chưa bị bệnh:
Cần tiêm phòng bệnh lao: Tiêm vắc xin BCG (phòng bệnh lao) cho trẻ ngay tháng đầu sau khi sinh theo Chương trình tiêm chủng mở rộng.
Sử dụng khẩu trang khi đi ra ngoài hoặc khi tiếp xúc với người bệnh lao phổi.
Che miệng khi hắt hơi, rửa tay sạch sẽ thường xuyên, nhất là trước khi ăn và sau khi đi vệ sinh.
Với người bệnh lao:
Những người bị bệnh Lao cần thực hiện những điều sau để bảo vệ người thân và cộng đồng: điều trị tích cực, tuân thủ các nguyên tắc điều trị bệnh; đeo khẩu trang khi tiếp xúc với người khác trong thời gian đang điều trị; che miệng, mũi bằng khăn, giấy mềm hoặc bằng cánh tay áo khi ho, khi hắt hơi; Khạc, nhổ đờm vào khăn giấy hoặc cốc giấy rồi bỏ vào thùng rác hoặc đốt đi; Rửa tay thường xuyên bằng xà phòng để giữ bàn tay luôn sạch sẽ; phòng ở cần luôn luôn thông thoáng.
Phương pháp điều trị bệnh lao
Bệnh lao có thể chữa khỏi hoàn toàn, vì vậy người mắc bệnh lao không cần quá lo lắng về bệnh. Trong thời gian điều trị, người bệnh lao phải tuyệt đối tuân thủ đúng phác đồ điều trị của bác sĩ về phối hợp các thuốc chống lao, đều đặng hàng ngày, đủ thời gian sử dụng thuốc, liều lượng sử dụng. Nếu dùng không đúng loại thuốc, đủ liều lượng và thời gian chữa trị… có thể gây ra những hậu quả đáng tiếc, dẫn tới bệnh lao kháng thuốc, kéo dài thời gian và tăng số lượng thuốc điều trị. Ngoài ra, người bệnh cần ăn uống đầy đủ chất dinh dưỡng nhằm tăng sức đề kháng trong quá trình điều trị lao.
Cần lưu ý thêm rằng, thuốc điều trị lao cũng mang lại một số tác dụng phụ ảnh hưởng lớn đến sức khỏe bệnh nhân. Vì thế người bệnh cần theo dõi tình trạng sức khỏe thường xuyên, thăm khám định kỳ để được bác sĩ theo dõi chẩn đoán mức độ tiến triển và khả năng đáp ứng thuốc để điều chỉnh kịp thời tránh gây tình trạng tốn kém lâu dài bệnh không biến chuyển.
Người bệnh lao phổi hoặc đang gặp biến chứng, di chứng sau khi điều trị bệnh lao nên đến thăm khám, điều trị tại các cơ sở y tế có chuyên môn về lĩnh vực này.
Bệnh viện Phổi Hà Nội (số 44 đường Thanh Nhàn, phường Thanh Nhàn, quận Hai Bà Trưng, Hà Nội) là bệnh viện chuyên khoa đầu ngành về lao và các bệnh phổi ở Thành phố Hà Nội, với đội ngũ chuyên gia, bác sĩ chuyên ngành, nhiều năm kinh nghiệm, máy móc, trang thiết bị, xét nghiệm hiện đại phục vụ tối ưu cho việc chẩn đoán, điều trị hiệu quả lao và bệnh phổi cho người bệnh.
Việt Nam hiện vẫn là nước có gánh nặng bệnh lao cao, đứng thứ 11 trong 30 nước có số người bệnh lao cao nhất trên toàn cầu, đồng thời đứng 11 trong số 30 nước có gánh nặng bệnh lao kháng đa thuốc cao nhất Thế giới (theo báo cáo của Tổ chức y tế thế giới 2023).

Phát hiện và điều trị bệnh lao sớm sẽ tránh được những biến chứng nguy hiểm. Ảnh minh họa
Bệnh lao phổi coi chừng biến chứng nghiêm trọng
Bệnh lao là một bệnh truyền nhiễm do vi khuẩn lao gây nên. Bệnh lao có thể gặp ở tất cả bộ phận trong cơ thể trong đó lao phổi là thể lao phổ biến nhất (80-85%) và là nguồn lây chính cho người xung quanh. Bệnh lao dễ gây ra nhiều di chứng, biến chứng nguy hiểm tới sức khỏe và tính mạng của bệnh nhân.
Trong điều kiện tự nhiên, vi khuẩn này có thể tồn tại từ 3 – 4 tháng. Trong phòng thí nghiệm, vi khuẩn lao có thể được bảo quản trong nhiều năm. Nếu ở dưới ánh nắng mặt trời vi khuẩn này sẽ chết trong vòng 1,5 giờ và sống được 5 phút khi bị chiếu tia cực tím.
Vi khuẩn lao là một vi khuẩn ái khí vì vậy vi khuẩn ưa cư trú trong môi trường có nhiều oxy, vì đặc tính này mà vi khuẩn lao thường khu trú ở phổi và số lượng vi khuẩn có nhiều nhất trong các tổn thương dạng hang lao trong phổi.
Lao phổi là thể bệnh có thể gặp ở cả người lớn và trẻ em, tỷ lệ mắc bệnh tăng lên theo lứa tuổi, nhất là ở người già, người có vấn đề về sức đề kháng. Tuy nhiên, con số hiện nay cho thấy số người bị mắc lao nhiều nhất lại là người đang ở tuổi lao động, vì vậy, mà bệnh ảnh hưởng rất lớn đến bản thân gia đình và cộng đồng vì đây là tuổi sản xuất ra của cải vật chất cho xã hội.
Người bệnh lao phổi nếu không được chữa trị kịp thời, hiệu quả có thể gây nên biến chứng đe dọa tính mạng. Nếu chậm trễ trong việc điều trị, bệnh lao phổi có thể làm nguy hại tới tính mạng bởi các biến chứng sau:
1. Tràn dịch, tràn khí màng phổi
Bình thường, khoang màng phổi không có khí và cũng không có dịch. Khoang này chỉ có một chút dịch nhờn để bôi trơn. Nó có tác dụng làm phổi nở ra trong hô hấp, hít vào thở ra được dễ dàng.
Tràn dịch màng phổi là hiện tượng màng phổi bị ứ dịch đầy trong khoang màng phổi. Còn tràn khí là hiện tượng khí xâm nhập đầy trong khoang màng phổi. Khí và dịch là từ phổi đi ra, vào trong khoang này.
Khi bị lao phổi, vi khuẩn lao làm thông thương giữa phổi và khoang này làm dịch và khí tràn ra một cách ồ ạt. Sự nguy hiểm ở đây là khí và dịch tràn ra nhiều quá sẽ ép phổi lại còn một thể tích rất nhỏ. Thể tích này không thể cung cấp đủ khí. Người bệnh sẽ bị ngạt thở và tử vong. Kiểu tử vong này gần như kiểu chết đuối trên cạn. Do vậy, cần xử lý ngay tràn dịch và khí để khai thông sự dễ thở cho nạn nhân.

Tràn dịch, tràn khí màng phổi. Ảnh minh họa
2. Ho ra máu
Ho ra máu là tình trạng người bệnh ho và khạc ra máu. Đây là dấu hiệu vi khuẩn lao đã xâm nhập và bắt đầu phá hủy phổi. Sự phá hủy này theo chiều hướng phá tan cấu trúc và làm thủng mạch máu. Ban đầu chỉ là các mạch máu nhỏ ở phế nang, sau rồi đến các mạch máu lớn.
Không có trường hợp ho ra máu nào là nhẹ cả, cho dù đó chỉ là dạng đờm lẫn dây máu. Đó là vì máu luôn chảy rỉ ra ở trong phổi, tại vị trí vi khuẩn lao phá hủy. Số lượng này tính tại một thời điểm là rất nhỏ nhưng trong một vài ngày thì lại rất lớn. Đặc điểm của ho ra máu do lao là không tự cầm và chảy máu diện rộng. Vì vậy, người bệnh sẽ bị chảy máu rất nhiều và chỉ khi đến một mức độ nào đó mới khạc ra được.
Trong bất kỳ trường hợp nào bị ho ra máu cũng không được chủ quan vì đây là một cấp cứu nội khoa. Nếu không cứu chữa kịp thời thì nạn nhân có thể tử vong nhanh, không kịp trở tay. Đó là khi vi khuẩn lao phá hủy một mạch máu lớn thì lượng máu sẽ ồ ạt chảy ra. Hoặc khi lượng máu quá nhiều người bệnh ộc ra. Toàn bộ lượng máu này sẽ làm bít tắc đường phế quản trên diện rộng và người bệnh tắc thở, suy tuần hoàn và tử vong.
3. Giãn phế quản
Chứng giãn phế quản có thể phát triển sau bệnh lao nguyên phát hoặc tái phát, cũng như kết hợp với chứng ho ra máu. Sau khi nhiễm bệnh lao nguyên phát, các hạch lớn chèn vào phế quản từ bên ngoài dẫn đến tình trạng giãn phế quản xa nơi tắc nghẽn.
Trong trường hợp bệnh lao tái hoạt động, sự phá hủy tiến triển và tình trạng xơ hóa nhu mô phổi có thể làm giãn phế quản khu trú. Chứng giãn phế quản thường xuất hiện ở những vùng lao tái hoạt (các vùng đỉnh hoặc sau của thùy trên), nhưng cũng có thể xảy ra ở những vùng phổi khác. Giãn phế quản là di chứng bệnh lao phổi thường gặp ở cả người lớn và trẻ em.
Khi mắc chứng giãn phế quản, người bệnh lao phổi sẽ gặp triệu chứng khạc đờm mạn tính. Đờm nhầy lắng thành nhiều lớp, khi xảy ra tình trạng nhiễm trùng sẽ trở thành mủ. Ở một số trường hợp, người bệnh bị giãn phế quản khu trú gặp nhiều biến chứng như ho ra nhiều máu, nhiễm trùng tái diễn, bác sĩ có thể chỉ định phẫu thuật cắt bỏ phần phổi bệnh.
4. Xơ phổi
Một biến chứng đáng ngại của lao phổi là tình trạng xơ hóa phổi. Vi khuẩn lao phá hủy phổi không ngừng. Chúng có thể làm hỏng một thùy nhỏ của phổi nhưng cũng có khi làm hỏng toàn bộ một bên phổi. Các vết phá hủy này có đặc điểm là lan tràn và mang tính mãi mãi. Khi phổi bị phá hủy lan rộng, xơ hóa toàn bộ, lá xơ này thủng lỗ chỗ và không hề có chức năng trao đổi khí. Người bệnh sẽ bị suy hô hấp dần dẫn đến tử vong.
5. Viêm màng não
Vi khuẩn lao sau khi tấn công vào phổi có thể di chuyển đến màng não cũng như các mô não. Biến chứng này có khả năng xuất hiện ngay lập tức sau khi người bệnh bị nhiễm vi khuẩn lao hoặc vài tháng, vài năm sau đó. Viêm màng não do di chứng sau khi điều trị lao phổi làm gia tăng áp lực trong hộp sọ, khiến các mô thần kinh bị tổn thương nghiêm trọng. Triệu chứng dễ nhận biết là người bệnh cảm thấy đau đầu dữ dội, chán ăn, cứng cổ…
Cách phát hiện sớm và điều trị bệnh lao
Tùy thuộc vào sức khỏe và để kháng của từng người mà bệnh lao ở phổi có thời gian ủ bệnh dài ngắn khác nhau. Trong giai đoạn lao tiềm ẩn, bệnh nhân không có hoặc có ít biểu hiện các triệu chứng bệnh, do đó rất khó phát hiện được bệnh nhân mắc bệnh trong giai đoạn này.
Ở nền bệnh lao tiến triển, tùy vào mức độ gây bệnh ở từng cơ quan bệnh nhân sẽ có những triệu chứng khác nhau. Người bị mắc bệnh lao phổi thường có những triệu chứng điển hình gồm: Ho kéo dài hơn 2 tuần (ho có đờm, ho ra máu); Đau ngực, đôi khi khó thở; Sốt về chiều; Đổ mồ hôi trộm về đêm; Chán ăn, gầy sút cân.
Khi có các dấu hiệu trên, người bệnh cần đi khám ngay để được chẩn đoán và điều trị kịp thời.
Người nguy cơ mắc bệnh lao
Những người bị suy giảm miễn dịch như nhiễm HIV, ung thư...; Người tiếp xúc trực tiếp với nguồn lây, đặc biệt là trẻ em; Người mắc các bệnh mạn tính như loét dạ dày tá tràng, đái tháo đường, suy thận mạn…; Người nghiện ma túy, rượu, thuốc lá; Người sử dụng các thuốc ức chế miễn dịch kéo dài như corticoid, hóa chất điều trị ung thư.
Cách phòng ngừa bệnh lao
Để phòng nhiễm bệnh và ngăn ngừa sự lây lan của bệnh ra cộng đồng cần thực hiện:
Với người chưa bị bệnh:
Cần tiêm phòng bệnh lao: Tiêm vắc xin BCG (phòng bệnh lao) cho trẻ ngay tháng đầu sau khi sinh theo Chương trình tiêm chủng mở rộng.
Sử dụng khẩu trang khi đi ra ngoài hoặc khi tiếp xúc với người bệnh lao phổi.
Che miệng khi hắt hơi, rửa tay sạch sẽ thường xuyên, nhất là trước khi ăn và sau khi đi vệ sinh.
Với người bệnh lao:
Những người bị bệnh Lao cần thực hiện những điều sau để bảo vệ người thân và cộng đồng: điều trị tích cực, tuân thủ các nguyên tắc điều trị bệnh; đeo khẩu trang khi tiếp xúc với người khác trong thời gian đang điều trị; che miệng, mũi bằng khăn, giấy mềm hoặc bằng cánh tay áo khi ho, khi hắt hơi; Khạc, nhổ đờm vào khăn giấy hoặc cốc giấy rồi bỏ vào thùng rác hoặc đốt đi; Rửa tay thường xuyên bằng xà phòng để giữ bàn tay luôn sạch sẽ; phòng ở cần luôn luôn thông thoáng.
Phương pháp điều trị bệnh lao
Bệnh lao có thể chữa khỏi hoàn toàn, vì vậy người mắc bệnh lao không cần quá lo lắng về bệnh. Trong thời gian điều trị, người bệnh lao phải tuyệt đối tuân thủ đúng phác đồ điều trị của bác sĩ về phối hợp các thuốc chống lao, đều đặng hàng ngày, đủ thời gian sử dụng thuốc, liều lượng sử dụng. Nếu dùng không đúng loại thuốc, đủ liều lượng và thời gian chữa trị… có thể gây ra những hậu quả đáng tiếc, dẫn tới bệnh lao kháng thuốc, kéo dài thời gian và tăng số lượng thuốc điều trị. Ngoài ra, người bệnh cần ăn uống đầy đủ chất dinh dưỡng nhằm tăng sức đề kháng trong quá trình điều trị lao.
Cần lưu ý thêm rằng, thuốc điều trị lao cũng mang lại một số tác dụng phụ ảnh hưởng lớn đến sức khỏe bệnh nhân. Vì thế người bệnh cần theo dõi tình trạng sức khỏe thường xuyên, thăm khám định kỳ để được bác sĩ theo dõi chẩn đoán mức độ tiến triển và khả năng đáp ứng thuốc để điều chỉnh kịp thời tránh gây tình trạng tốn kém lâu dài bệnh không biến chuyển.
Người bệnh lao phổi hoặc đang gặp biến chứng, di chứng sau khi điều trị bệnh lao nên đến thăm khám, điều trị tại các cơ sở y tế có chuyên môn về lĩnh vực này.
Bệnh viện Phổi Hà Nội (số 44 đường Thanh Nhàn, phường Thanh Nhàn, quận Hai Bà Trưng, Hà Nội) là bệnh viện chuyên khoa đầu ngành về lao và các bệnh phổi ở Thành phố Hà Nội, với đội ngũ chuyên gia, bác sĩ chuyên ngành, nhiều năm kinh nghiệm, máy móc, trang thiết bị, xét nghiệm hiện đại phục vụ tối ưu cho việc chẩn đoán, điều trị hiệu quả lao và bệnh phổi cho người bệnh.